
A broken tooth can be a distressing experience, sending shivers down your spine as you grapple with questions about the next steps. Do you rush to the dentist immediately, or can you afford to wait it out? How long can you leave a broken tooth in your mouth without dire consequences? These are common concerns that many individuals face when confronted with dental emergencies. In this guide, we’ll delve into the intricacies of dealing with a broken tooth, exploring the potential risks and consequences of procrastination. From understanding the anatomy of a tooth to the different types of fractures, we aim to equip you with the knowledge needed to make an informed decision about your oral health.
The Anatomy of A Tooth
Before we plunge into the depths of the broken tooth dilemma, let’s take a moment to understand the anatomy of a tooth. A tooth consists of several layers, each playing a crucial role in maintaining its structure and function.
- Enamel: The outermost layer, enamel, is the hard, protective shell that covers the visible part of the tooth. It shields the inner layers from external forces.
- Dentin: Beneath the enamel lies the dentin, a softer tissue that forms the bulk of the tooth. Dentin contains microscopic tubules that connect to the nerve, transmitting sensations such as temperature changes.
- Pulp: The innermost layer, pulp, houses the tooth’s nerve, blood vessels, and connective tissues. It is the lifeline of the tooth, responsible for nourishing and sustaining it.
Types of Tooth Fractures
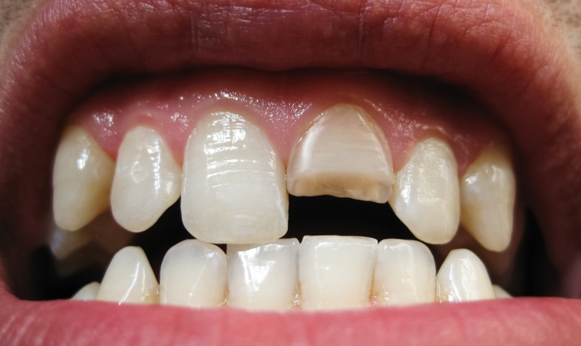
Not all broken teeth are created equal; there are various types of fractures, each with its own set of implications. Recognizing the type of break is essential in determining the urgency of seeking dental care. The common types include:
- Cracked Tooth: This involves a small crack in the enamel, often invisible to the naked eye. Though it may seem minor, a cracked tooth can lead to more significant issues if left untreated.
- Chipped Tooth: A portion of the enamel breaks off, leaving a visible defect. While chipped teeth are usually less severe, they can expose the inner layers to potential harm.
- Broken Cusp: This occurs when a pointed part of the chewing surface breaks off. It may not always cause pain, but it can affect the tooth’s functionality.
- Vertical Root Fracture: This type extends upward from the root of the tooth. Vertical root fractures are often challenging to detect and may require X-rays for diagnosis.
The Immediate Aftermath: What to Do When a Tooth Breaks
When faced with a broken tooth, the immediate steps you take can significantly impact the outcome. Here are some guidelines for handling a dental emergency:
- Rinse Your Mouth: Gently rinse your mouth with warm water to cleanse the area.
- Save the Pieces: If possible, save any broken pieces of the tooth. Your dentist may be able to use them in the restoration process.
- Control Bleeding: Apply gentle pressure with a clean cloth or gauze if there’s bleeding. This can help control the bleeding until you receive professional care.
- Pain Management: Over-the-counter pain relievers can help alleviate pain and reduce inflammation. Avoid placing aspirin directly on the tooth, as it may create irritation in your gums.
How Long is Too Long?
Now comes the crucial question: How long can you leave a broken tooth in your mouth without dire consequences? The answer is not one-size-fits-all, as it depends on various factors, including the type and extent of the fracture, your overall oral health, and the presence of associated symptoms.
- Immediate Action for Severe Fractures: If you’re dealing with a severe fracture, such as a split tooth or a tooth with a visible nerve exposure, immediate dental attention is paramount. Delays in such cases can lead to infection, increased pain, and complications that may necessitate more extensive treatments.
- Moderate Fractures – Days to Weeks: For moderate fractures, where the damage is significant but not an emergency, it’s advisable to seek dental care within a few days to a couple of weeks. Waiting too long may exacerbate the risk of infection and compromise the tooth’s viability.
- Minor Fractures – Weeks to Months: Minor fractures, like small chips or superficial cracks, may not require immediate attention. However, it’s still essential to address them within a reasonable timeframe, typically within weeks to months, to prevent further damage or complications.
The Risks of Procrastination
Procrastinating on addressing a broken tooth can have far-reaching consequences, extending beyond the realm of oral health. Here are some risks associated with delaying dental care:
- Infection: A broken tooth provides an entry point for bacteria, increasing the risk of infection. Untreated infections can lead to abscess formation, causing severe pain and requiring more invasive treatments.
- Pulp Damage: Delaying treatment can result in damage to the tooth’s pulp, leading to irreversible inflammation and potential loss of the tooth.
- Compromised Functionality: Depending on the location and extent of the break, a broken tooth may impact your ability to chew properly, affecting your overall diet and nutrition.
- Aesthetic Concerns: Beyond functionality, a broken tooth can also affect your smile and confidence. Prompt treatment can often involve cosmetic solutions to restore the tooth’s appearance.
In the realm of dental emergencies, time is undeniably a critical factor. How long you can leave a broken tooth in your mouth without consequences depends on various factors, but one thing is clear: prompt action is your best ally. Understanding the type of fracture and its potential risks empowers you to make informed decisions about your oral health. Remember, your teeth are invaluable assets that deserve timely attention and care. Whether it’s a minor chip or a severe break, consult with your dentist at the earliest sign of trouble. The investment in prompt dental care pays off in preserving your smile and ensuring the long-term health of your teeth. So, the next time you find yourself pondering how long you can leave a broken tooth unattended, remember that time is of the essence – your smile may thank you for it.



